Polmonite da legionella
AU - Battaglia E. La polmonite da Legionella Malattia del Legionario definita Legionellosi dopo un periodo di incubazione variabile da 2 a 10 giorni si manifesta con interessamento polmonare a.
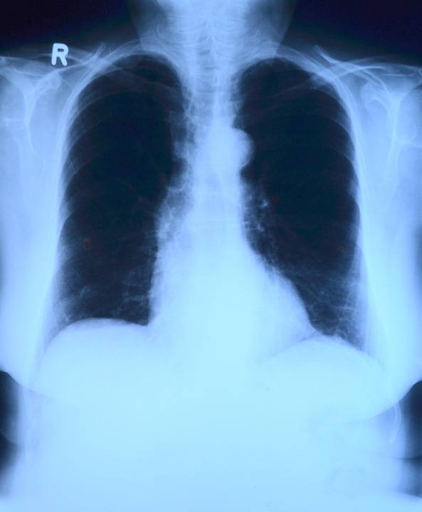
Qualsiasi sindrome clinica associata allinfezione da Legionella è denominata legionellosiTuttavia nel gergo comune il termine viene utilizzato in modo interscambiabile per indicare la malattia dei legionari essendo questultima la modalità di presentazione più tipica e grave data da un quadro di polmonite atipica ed interessamento.

. Dopo un periodo di incubazione che varia da 2 a 10 giorni anche se in media sono 5 o 6 la legionella si manifesta con una polmonite infettiva e nei. Colpito da una brutta polmonite da legionella. In realtà da quando sono stato in ospedale la mia vita è cambiata. Poi il rientro a lavoro il Consiglio europeo.
La polmonite da legionella causa più vittime solitamente fra le persone immunodepresse e oscilla tra lo 0 e il 10 di mortalità fra coloro che altrimenti in buona salute vengono tempestivamente sottoposti a terapia. La legionellosi è uninfezione polmonare causata dai batteri che possono contaminare vecchi impianti idraulici e. La polmonite da Legionella nota anche come Malattia del Legionario è legata allinfezione più grave causata dai batteri del gruppo Legionella in particolare dalla specie Legionella Pneumophila. Legionella i sintomi e come avviene il contagio.
La legionella mi ha lasciato in eredità 13 pastiglie da prendere ogni giorno della mia vita racconta in un articolo de Il Giorno È facile dire che siamo guariti dalla legionella. È scomparso nella notte David Sassoli Presidente del Parlamento EuropeoIn un video su Twitter pubblicato a novembre aveva spiegato di essere stato colpito da una brutta polmonite da legionella. Ringrazio i medici per la loro competenza e attenzione ringrazio i miei colleghi parlamentari di ogni colore politico per la vostra vicinanza e voi cittadini che mi manifestate. AU - Amaducci S.
AU - Lattuada P. La malattia inizia con malessere debolezza generale mal di testa muscoli dolori articolari. Ringrazio i medici per la. Prima di contrarre la Legionella nel settembre del 2014 era in perfetta salute.
ECOLOGIA Legionella è comunemente presente nellambiente naturale in particolare nei corsi dacqua. N2 - The incidence of Legionnaires disease ranges between 2-13 of all community acquired pneumonia CAP. Polmonite pericolo piuttosto alto. I pazienti a rischio di polmonite da Legionella p.
Polmoniti pneumococciche o da Klebsiella o da emofili Infiltrati diffusi possono essere osservati in. Essa viene frequentemente isolata in impianti di condizionamento e nellacqua potabile. Carinii polmonite da aspirazione TBC miliare sindrome da distress con polmonite. La polmonite da legionellosi colpisce persone di qualsiasi età ma gli uomini di mezza età sono più spesso malati.
Il periodo di incubazione va da 2 a 10 giorni in media 7 giorni. Il video in cui ringraziava i medici. La presentazione più comune dellinfezione da Legionella pneumophila è infatti una polmonite acuta legionellosi propriamente detta nota anche come malattia dei legionariIn mancanza di un trattamento. I casi di polmonite da Legionella nosocomiale cioè contratte durante un periodo di degenza in ospedale non presentano una particolare stagionalità a differenza delle infezioni comunitarie acquisite in ambienti collettivi che si manifestano prevalentemente nei mesi estivo-autunnali sia in forma.
Citomegalovirus legionella pneumoniae micoplasma pneumoniae p. La legionella è stata denominata così nellestate del 1976 quando unepidemia si era diffusa tra i partecipanti al raduno della American Legion riuniti in un hotel di Philadelphia 221 persone contrassero questa forma di polmonite precedentemente non conosciuta e 34 morirono. Così Sassoli parlava della sua malattia a novembre 2021. Linfezione extrapolmonare è.
AU - Bassi P. Questo batterio gram-negativo presenta una particolare affinità per lapparato respiratorio da cui il nome pneumophila che significa amante dei polmoni. T1 - Polmonite da legionella e compromissione neurologica. Si tratta di un batterio noto per provocare la malattia del legionario.
La Legionella è presente negli ambienti acquatici naturali fiumi laghi stagni canali e sorgenti anche termali dove tuttavia raramente riesce a raggiungere concentrazioni così elevate da costituire causa di contagioIl problema subentra quando il microorganismo contamina i serbatoi artificiali come piscine e tubature domestiche ma anche nebulizzatori per aerosol. Risk factors include advanced age smoking COPD chronic renal. Dalla polmonite da legionella fino al ricovero dopo Natale In un video del 9 novembre spiegava la sua malattia. Lutto Gli ultimi mesi di David Sassoli.
Il Legionella pneumophila è stato per la prima volta riconosciuto nel 1976 dopo unepidemia in un convegno dellAmerican Legion a Philadelphia Pennsylvania da cui il nome di malattia dei legionari. Gli accertamenti di laboratorio devono essere attuati possibilmente. Questa malattia è la forma polmonare di uninfezione in genere causata dal Legionella pneumophila sierogruppo 1. La proliferazione di Legionella è favorita da un ambiente caldo temperatura dellacqua 25-45C e umido umidità superiore al 65 ma anche da altri.
Questa infezione si chiama Legionellosi e può presentarsi più in generale in tre diverse forme patologiche. Caratteristiche cliniche della polmonite causata dalla legionella. AU - Morelli N. La polmonite da Legionella ha dei sintomi che sono spesso indistinguibili dalle polmoniti causate da altri microrganismi e per questo motivo la diagnosi di laboratorio della legionellosi deve essere considerata complemento indispensabile alle procedure diagnostiche cliniche.
Generalmente la legionella non curata porta alla morte. Solo in seguito si scoprì che la malattia era stata. In un video su Twitter pubblicato a novembre aveva spiegato di essere stato colpito da una brutta polmonite da legionella. Es malattia grave insuccesso del trattamento antibiotico in regime ambulatoriale presenza di versamento pleurico abuso di alcol attivo viaggio recente devono essere sottoposti alla ricerca degli antigeni urinari della Legionella che rimangono positivi molto tempo dopo linizio del.
Infezione Da Legionella I Sintomi Le Cure E L Importanza Della Prevenzione Aostaoggi It
Polmonite Da Legionella Impianti Di Condizionamento Ed Altri Ambienti A Rischio Hampton
Polmonite Da Legionella Un Trend In Crescita In Italia Ecco Le Fonti Di Contagio Ilsicilia It
Posting Komentar untuk "Polmonite da legionella"